-
分享一篇文献
-
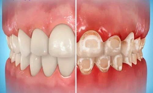
论正畸过程中好好刷牙的重要性

左:你想象中摘了牙套的你右:现实中多数人摘了牙套的牙齿如果没有好好刷牙,摘了牙套后的你将额外收获牙齿脱矿后产生的白垩色斑块龋坏牙龈红肿出血牙结石各种牙周病掉了。。。。。
-
颌牵与种植支抗的不同是?
一位患者推磨牙向后,是颌牵比较好?还是打支抗比较好呢?支抗应该打在那几个位置上?
-
医患沟通应把握的原则
医务人员与患者的关系是一种特殊的人际关系,医患之间良好的沟通交流有助于疾病的诊断、治疗和康复。在与患者沟通时,笔者认为医务人员应把握以下几项原则,即把握平等和尊重的原则,真诚和换位的原则,依法和守...
-
【3D动画】正颌改变面型的全过程,牙套矫正加正颌治疗!
-
深覆合矫正效果动画
-
桩冠制作动画
-
泰国是庙宇林立的千佛之国,信仰为上的微笑之国。

泰国是佛教之邦,以其多变的景致及丰富的文化内涵,成为许多旅游者度假计划中的独特选择。 泰国在世界上素有“佛教之国”、“大象之国”、“微笑之国”等称誉。 泰国庙宇林立的千佛之国,信仰为上的微笑之国;拥有...
-
在下切牙唇向移动过程中骨开裂发生发展的重要因素:成人正畸患者的回顾性研究
文献分享
-
面对市场上品类繁多的隐形矫治器,我们该如何正确选择
隐适美 正雅 易美齐 正丽 时代天使 达芬奇
-
矫正会导致牙套脸吗
什么情况下矫正会导致牙套脸
-
正畸治疗中的配合问题
正畸治疗能否取得最佳效果,不仅取决于正畸医生的治疗,而且取决于患者良好的配合,它们各占矫治效果的50%。可以这样说,没有患者良好的配合,就没有最佳的矫治效果。如何在正畸过程中让患者更好的配合呢?
-
保持器哪种好用
保持器到底哪种保持效果好
-
什么是审美平面
什么是审美平面,审美平面能用来判断判断脸型吗?
-
如何判断直面型、凸面型、凹面型?
如何判断直面型、凸面型、凹面型?









